Τι Είναι Το Αδένωμα Υπόφυσης

Το αδένωμα υπόφυσης αποτελεί μία συνήθη βλάβη του εγκεφάλου μετά το ακουστικό νευρίνωμα, το μηνιγγίωμα και το γλοίωμα. Αντιπροσωπεύει περί το 10% των ασθενών με όγκο εγκεφάλου , χωρίς αυτό να σημαίνει πως αντιμετωπίζουν προβλήματα όλοι οι ασθενείς με αδένωμα υπόφυσης.

Το αδένωμα υπόφυσης είναι ένας συνήθως καλοήθης όγκος που αναπτύσσεται από τα κύτταρα της υπόφυσης, ενός μικρού αλλά ιδιαίτερα σημαντικού ενδοκρινικού αδένα στη βάση του εγκεφάλου. Ανάλογα με το μέγεθός του, διακρίνεται σε μικροαδένωμα (διάμετρος μικρότερη από 10 χιλιοστά) και μακροαδένωμα (διάμετρος μεγαλύτερη από 10 χιλιοστά). Παράλληλα, ταξινομείται σε εκκριτικό, όταν παράγει αυξημένες ποσότητες συγκεκριμένων ορμονών, και μη εκκριτικό, όταν δεν προκαλεί ορμονική υπερέκκριση. Ο τύπος και το μέγεθος του αδενώματος καθορίζουν την κλινική εικόνα, τα συμπτώματα και τη θεραπευτική προσέγγιση η οποία θα επιλεγεί για κάθε ασθενή.

Αδένωμα Υπόφυσης

Αδένωμα Υπόφυσης – Αίτια

Τα αδενώματα της υπόφυσης είναι στην πλειονότητά τους καλοήθεις όγκοι χωρίς σαφές εξωτερικό αιτιολογικό παράγοντα. Η ακριβής αιτία που ένα κύτταρο της υπόφυσης αρχίζει να πολλαπλασιάζεται ανεξέλεγκτα και σχηματίζει όγκο δεν έχει ακόμη προσδιοριστεί με απόλυτη βεβαιότητα. Οι περισσότερες περιπτώσεις δεν σχετίζονται με γνωστούς περιβαλλοντικούς παράγοντες ή τον τρόπο ζωής, ενώ δεν φαίνεται να ευθύνονται συγκεκριμένες διατροφικές συνήθειες ή τοξίνες και συνολικά οι καθημερινές συνθήκες διαβίωσης.

Σε μερικές, σπάνιες περιπτώσεις έχει περιγραφεί γενετική προδιάθεση στα πλαίσια κληρονομικών συνδρόμων όπως είναι η πολλαπλή ενδοκρινική νεοπλασία τύπου 1 (MEN1), όπου υπάρχει αυξημένος κίνδυνος εμφάνισης αδενωμάτων της υπόφυσης στο πλαίσιο γενικευμένου ενδοκρινικού προβλήματος. Η ύπαρξη μεταλλάξεων στο DNA των κυττάρων της υπόφυσης φαίνεται να παίζει ρόλο στην ανεξέλεγκτη κυτταρική ανάπτυξη, αλλά αυτές οι γενετικές αλλαγές δεν έχουν ακόμα πλήρως κατανοηθεί και δεν είναι πάντοτε κληρονομικές.

Αδένωμα Υπόφυσης – Συμπτώματα

Τα αδενώματα της υπόφυσης μπορεί να είναι ασυμπτωματικά, ιδιαίτερα όταν πρόκειται για μικρού μεγέθους βλάβες (μικροαδενώματα), και συχνά ανευρίσκονται τυχαία κατά τη διάρκεια απεικονιστικού ελέγχου, συνήθως με μαγνητική τομογραφία εγκεφάλου για άλλο λόγο. Η εμφάνιση συμπτωμάτων εξαρτάται κυρίως από το μέγεθος του αδενώματος και το αν είναι εκκριτικό ή μη εκκριτικό.

Τα μη εκκριτικά αδενώματα στην αρχή δεν προκαλούν συμπτώματα, αλλά αυξάνονται προοδευτικά σε μέγεθος. Όταν το αδένωμα φτάσει περίπου τα 10 χιλιοστά σε διάμετρο (μακροαδένωμα), αρχίζει να πιέζει τους γύρω ιστούς. Αρχικά μπορεί να συμπιέσει τη φυσιολογική υπόφυση, οδηγώντας σε υποφυσιακή ανεπάρκεια, ενώ σε επόμενο στάδιο πιέζει τα οπτικά νεύρα, προκαλώντας διαταραχές της όρασης, όπως μείωση των οπτικών πεδίων.

Εάν το αδένωμα συνεχίσει να μεγαλώνει, μπορεί να εμφανιστούν γενικά συμπτώματα ενδοκρανιακής πίεσης, όπως:

  • Πονοκέφαλος: Ο πονοκέφαλος αποτελεί ένα από τα συχνότερα συμπτώματα που αναφέρουν οι ασθενείς με αδένωμα υπόφυσης. Συχνά, είναι έντονος, κυρίως τις πρωινές ώρες ή το βράδυ.
  • Ζάλη
  • Ναυτία και έμετοι
  • Υπνηλία
  • Κόπωση

Τα εκκριτικά αδενώματα υπόφυσης προκαλούν συμπτώματα όπως τα παρακάτω, που σχετίζονται με την ορμόνη που υπερεκκρίνουν:

  • Παραγωγή προλακτίνης που οδηγεί σε διαταραχές ή απουσία εμμήνου ρύσης, γαλακτόρροια, υπογονιμότητα
  • Παραγωγή αυξητικής ορμόνης με αποτέλεσμα τη μεγαλακρία στους ενήλικες και τον γιγαντισμό στα παιδιά
  • Παραγωγή κορτιζόλης η οποία συνδέεται με τη νόσο Cushing, αύξηση του βάρους, υπέρταση, μυϊκή αδυναμία και λέπτυνση οστών
  • Παραγωγή ορμονών που οδηγούν σε υπερθυρεοειδισμό, με συμπτώματα όπως νευρικότητα και κόπωση

Επιπλέον, μπορεί να παρατηρηθούν μειωμένη libido, διαταραχές στύσης, κόπωση και ορμονικές διαταραχές.

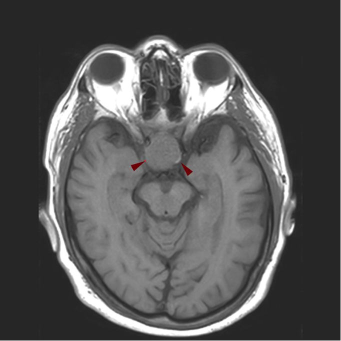
Αδένωμα Υπόφυσης – Διάγνωση

Η διάγνωση του αδενώματος της υπόφυσης βασίζεται σε μία ολοκληρωμένη ιατρική αξιολόγηση που περιλαμβάνει την κλινική εξέταση του ασθενή και εξειδικευμένο εργαστηριακό και απεικονιστικό έλεγχο.

Βασικές εξετάσεις είναι ο ορμονολογικός έλεγχος, με προσδιορισμό των επιπέδων των ορμονών στο αίμα και, σε ορισμένες περιπτώσεις, στα ούρα, καθώς και ο απεικονιστικός έλεγχος του εγκεφάλου, κυρίως με μαγνητική τομογραφία.

Σε περιπτώσεις μακροαδενωμάτων μπορεί να απαιτηθεί και αξονική τομογραφία. Ανάλογα με τον τύπο και το μέγεθος του αδενώματος, ενδέχεται να χρειαστεί οφθαλμολογικός έλεγχος ή πρόσθετες εξετάσεις, όπως έλεγχος οστεοπόρωσης σε ασθενείς με σύνδρομο Cushing.

Αδένωμα Υπόφυσης Διάγνωση

Αδένωμα Υπόφυσης – Θεραπεία

Η θεραπεία του αδενώματος της υπόφυσης εξαρτάται από τον τύπο του (αν είναι εκκριτικό ή μη), το μέγεθός του, την ύπαρξη συμπτωμάτων και τις πιθανές επιπτώσεις στις γύρω δομές.

Μικρά, ασυμπτωματικά αδενώματα μπορεί να παρακολουθούνται χωρίς άμεση θεραπεία, με τακτικό απεικονιστικό και ορμονολογικό έλεγχο. Σε λειτουργικά αδενώματα (π.χ. προλακτινώματα) η φαρμακευτική θεραπεία είναι συχνά αποτελεσματική στην υποχώρηση του όγκου και στην ομαλοποίηση των ορμονών. Σε περιπτώσεις μεγάλων όγκων με συμπτώματα ή οπτικές διαταραχές, η χειρουργική αφαίρεση είναι η κύρια επιλογή. Σε ορισμένα περιστατικά μπορεί να απαιτηθεί ακτινοθεραπεία ή συνδυασμός θεραπειών.

Το κόστος της θεραπείας καθορίζεται από το ακριβές πλάνο που θα σχεδιαστεί και μια σειρά από παράγοντες για τους οποίους ο ασθενής ενημερώνεται αναλυτικά από τον γιατρό του.

Συντηρητική Θεραπεία

Η συντηρητική θεραπεία εφαρμόζεται κυρίως σε μικρά, μη εκκριτικά αδενώματα που δεν προκαλούν συμπτώματα ή σε επιλεγμένες περιπτώσεις εκκριτικών αδενωμάτων. Περιλαμβάνει τακτική παρακολούθηση με μαγνητική τομογραφία εγκεφάλου, ορμονολογικό έλεγχο και, όταν απαιτείται, οφθαλμολογική εκτίμηση. Στόχος της παρακολούθησης είναι η έγκαιρη ανίχνευση τυχόν αύξησης του μεγέθους του αδενώματος ή εμφάνισης συμπτωμάτων.

Η φαρμακευτική αγωγή αποτελεί βασικό πυλώνα της συντηρητικής αντιμετώπισης στα εκκριτικά αδενώματα. Ιδιαίτερα στα προλακτινώματα, η κατάλληλη αγωγή μπορεί να μειώσει τα επίπεδα της ορμόνης και να οδηγήσει σε σημαντική συρρίκνωση του όγκου, αποφεύγοντας συχνά την ανάγκη χειρουργικής επέμβασης. Ανάλογα με το είδος του αδενώματος, μπορεί να χρησιμοποιηθούν διαφορετικά φαρμακευτικά σχήματα για τον έλεγχο της υπερπαραγωγής ορμονών.

Σε περιπτώσεις υπολειμματικού ή υποτροπιάζοντος όγκου, ή όταν δεν είναι δυνατή η χειρουργική αντιμετώπιση, μπορεί να εξεταστεί και η ακτινοθεραπεία ή ακτινοχειρουργική, πάντα μετά από εξειδικευμένη αξιολόγηση.

Χειρουργείο

Η χειρουργική θεραπεία αποτελεί την κύρια επιλογή αντιμετώπισης για αδενώματα της υπόφυσης που προκαλούν συμπτώματα, όπως οπτικές διαταραχές, έντονο πονοκέφαλο ή σημαντική πίεση στις γειτονικές εγκεφαλικές δομές. Ενδείκνυται, επίσης, όταν η φαρμακευτική αγωγή δεν είναι αποτελεσματική ή δεν είναι ανεκτή από τον ασθενή. Στόχος της χειρουργικής επέμβασης είναι η πλήρης ή όσο το δυνατόν μεγαλύτερη αφαίρεση του όγκου, η αποσυμπίεση των οπτικών νεύρων και η αποκατάσταση της φυσιολογικής λειτουργίας της υπόφυσης.

Η πιο συχνά εφαρμοζόμενη μέθοδος είναι η διασφηνοειδική αφαίρεση του αδενώματος, μια ελάχιστα επεμβατική τεχνική που πραγματοποιείται μέσω της μύτης, χωρίς εξωτερικές τομές. Η ενδοσκοπική αυτή προσπέλαση επιτρέπει άμεση πρόσβαση στην υπόφυση, με μειωμένο χειρουργικό τραύμα, μικρότερο χρόνο νοσηλείας και ταχύτερη ανάρρωση για τον ασθενή. Σε σπανιότερες περιπτώσεις, όπως σε πολύ μεγάλα ή εκτεταμένα αδενώματα, μπορεί να απαιτηθεί διακρανιακή χειρουργική προσπέλαση. Η επιλογή της κατάλληλης μεθόδου γίνεται από εξειδικευμένη νευροχειρουργική ομάδα, η οποία θα λάβει υπόψη το μέγεθος, την επέκταση και τη σχέση του όγκου με τις γειτονικές δομές.

Αδένωμα Υπόφυσης Χειρουργείο

Μετά το χειρουργείο, είναι απαραίτητη η στενή παρακολούθηση με απεικονιστικές και ορμονολογικές εξετάσεις, καθώς σε ορισμένες περιπτώσεις μπορεί να χρειαστεί συμπληρωματική θεραπεία.

Ο Νευροχειρουργός Ευστάθιος Σαμαράς είναι Διευθυντής Νευροχειρουργός στην Κλινική Σπονδυλικής Στήλης και Μεγάλων Αρθρώσεων του Metropolitan General Αθηνών με χειρουργική παρουσία για περισσότερα από 15 έτη. Επικοινωνήστε μαζί του τηλεφωνικά ή συμπληρώνοντας τη φόρμα επικοινωνίας και κλείστε ραντεβού στο Metropolitan General στην Αθήνα (Χολαργό), στο ιδιωτικό του ιατρείο στη Χαλκίδα ή την Ιστιαία για την απαραίτητη διάγνωση και τον σχεδιασμό της κατάλληλης θεραπείας για εσάς!

Πιστεύω ότι ο κάθε άνθρωπος είναι ξεχωριστός, μοναδικός και ότι για κάθε ασθενή η ιδανική θεραπεία είναι απόλυτα εξατομικευμένη. Είμαι στη διάθεσή σας.