Τα επισκληρίδια αιματώματα, συνήθως προκαλούνται από τραυματική ρήξη αρτηριών.
Στις περισσότερες περιπτώσεις, είναι απαραίτητη η επείγουσα νευροχειρουργική επέμβαση για να αφαιρεθεί.
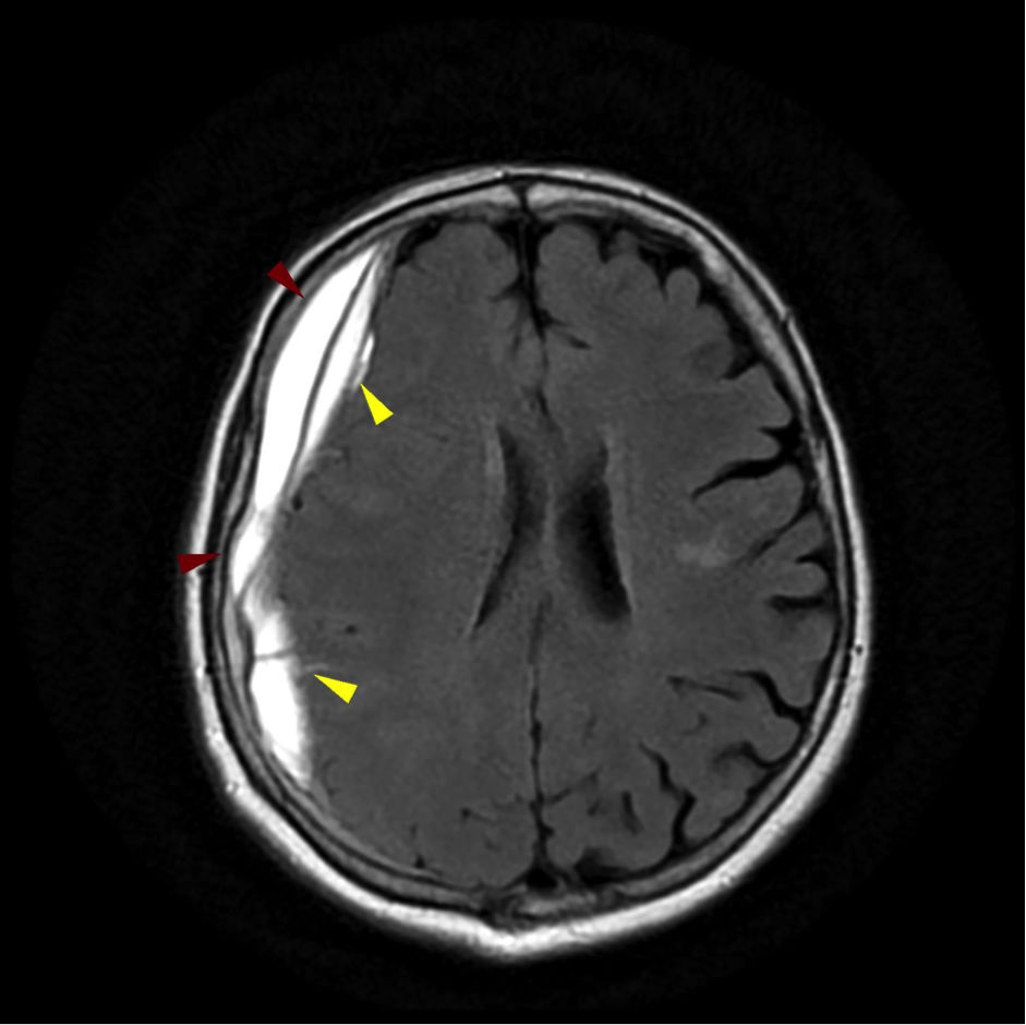
Επισκληρίδιο αιμάτωμα
Το επισκληρίδιο αιμάτωμα είναι αιμορραγία στην περιοχή μεταξύ του κρανίου και της εξωτερικής από τις τρεις προστατευτικές μεμβράνες που περιβάλλουν τον εγκέφαλο (σκληρά μήνιγγα).
Τι είναι το φωτεινό διάλειμμα;
Συχνά στις περιπτώσεις επισκληριδίου αιματώματος, ο ασθενής νιώθει αρκετά καλά μετά τον τραυματισμό, αλλά ξαφνικά μπορεί να πέσει σε κώμα. Η περίοδος της φαινομενικής βελτίωσης, πριν αυξηθεί το αιμάτωμα, ονομάζεται φωτεινό διάλειμμα.
Το φωτεινό διάλειμμα είναι πιθανό να καθησυχάσει τον ασθενή, τους οικείους του, αλλά και τους γιατρούς.
Εάν δεν γίνει χειρουργική επέμβαση στον ασθενή με επισκληρίδιο αιμάτωμα, απειλείται η ζωή του.
Πιστεύω ότι ο κάθε άνθρωπος είναι ξεχωριστός, μοναδικός και ότι για κάθε ασθενή η ιδανική θεραπεία είναι απόλυτα εξατομικευμένη. Είμαι στη διάθεσή σας.
