Η εγκεφαλική θλάση μπορεί να εμφανιστεί είτε μεμονωμένα είτε σε συνδυασμό με εγκεφαλικό αιμάτωμα, ιδίως μετά από κρανιοεγκεφαλική κάκωση. Ανάλογα με το μέγεθος και τη θέση του αιματώματος, τα συμπτώματα μπορεί να είναι ήπια ή να απειλούν άμεσα τη ζωή του ασθενή. Το αιμάτωμα στον εγκέφαλο μπορεί να εξελιχθεί σταδιακά, καθώς η αιμορραγία ενδέχεται να συνεχιστεί ώρες μετά τον τραυματισμό, γεγονός που καθιστά απαραίτητη τη στενή ιατρική παρακολούθηση. Η έγκαιρη διάγνωση και αντιμετώπιση είναι καθοριστικής σημασίας για την πρόγνωση και την αποφυγή σοβαρών επιπλοκών.
Τι Είναι Το Εγκεφαλικό Αιμάτωμα (Εγκεφαλική Θλάση);
Το εγκεφαλικό αιμάτωμα αποτελεί επείγουσα ιατρική κατάσταση, καθώς η συσσώρευση αίματος μπορεί να προκαλέσει αύξηση της ενδοκράνιας πίεσης και μετατόπιση των εγκεφαλικών δομών. Η βαρύτητά του ταξινομείται σε ήπια, μέτρια ή σοβαρή, ανάλογα με το μέγεθος της αιμορραγίας και τη νευρολογική εικόνα του ασθενή.
Εγκεφαλικό Αιμάτωμα (Εγκεφαλική Θλάση) – Αίτια
Το εγκεφαλικό αιμάτωμα προκαλείται κυρίως από κρανιοεγκεφαλική κάκωση, όπως τροχαία ατυχήματα, πτώσεις από ύψος ή ισχυρά χτυπήματα στο κεφάλι. Σε αυτές τις περιπτώσεις, η βίαιη επιτάχυνση ή επιβράδυνση του εγκεφάλου οδηγεί σε ρήξη αγγείων και δημιουργία αιματώματος στον εγκέφαλο. Συχνά συνυπάρχει εγκεφαλική θλάση, ιδίως σε σοβαρούς τραυματισμούς.
Ωστόσο, αιμάτωμα στο κεφάλι μπορεί να εμφανιστεί και χωρίς εμφανή τραυματισμό, ιδιαίτερα σε άτομα με αρτηριακή υπέρταση, διαταραχές πήξης, αγγειακές ανωμαλίες ή σε όσους λαμβάνουν αντιπηκτική αγωγή. Σε σπανιότερες περιπτώσεις, το εγκεφαλικό αιμάτωμα σχετίζεται με παθολογικά αίτια, όπως όγκους ή φλεγμονώδεις καταστάσεις που αποδυναμώνουν τα αγγεία. Η αναγνώριση του αιτίου είναι κρίσιμη για τη σωστή αντιμετώπιση και την πρόληψη υποτροπών.
Αιμάτωμα Στον Εγκέφαλο – Συμπτώματα
Τα συμπτώματα από αιμάτωμα στον εγκέφαλο διαμορφώνονται ανάλογα με το μέγεθος, τη θέση και τον ρυθμό εξέλιξης της αιμορραγίας. Συχνά εμφανίζονται έντονος πονοκέφαλος, ναυτία και έμετος, καθώς και διαταραχές του επιπέδου συνείδησης, όπως υπνηλία ή σύγχυση. Σε σοβαρότερες περιπτώσεις, μπορεί να παρουσιαστεί απώλεια συνείδησης.
Νευρολογικά ελλείμματα, όπως αδυναμία ή παράλυση άκρων, διαταραχές ομιλίας, προβλήματα όρασης ή σπασμοί, αποτελούν ανησυχητικά σημεία. Η εγκεφαλική θλάση που συνοδεύει το αιμάτωμα μπορεί να επιδεινώσει τα συμπτώματα λόγω τοπικού οιδήματος και αυξημένης ενδοκράνιας πίεσης. Αξίζει να σημειωθεί ότι ορισμένα συμπτώματα μπορεί να εμφανιστούν καθυστερημένα, γεγονός που καθιστά απαραίτητη την άμεση ιατρική εκτίμηση μετά από κάθε σοβαρό χτύπημα στο κεφάλι.
Το εγκεφαλικό αιμάτωμα μπορεί να προκαλέσει επικίνδυνη αύξηση της ενδοκράνιας πίεσης, οδηγώντας σε συμπίεση ζωτικών εγκεφαλικών δομών. Σε σοβαρές περιπτώσεις, υπάρχει κίνδυνος εγκεφαλικής κήλης, μια απειλητική για τη ζωή κατάσταση που απαιτεί άμεση νευροχειρουργική παρέμβαση.
Εγκεφαλικό Αιμάτωμα (Εγκεφαλική Θλάση) – Διάγνωση
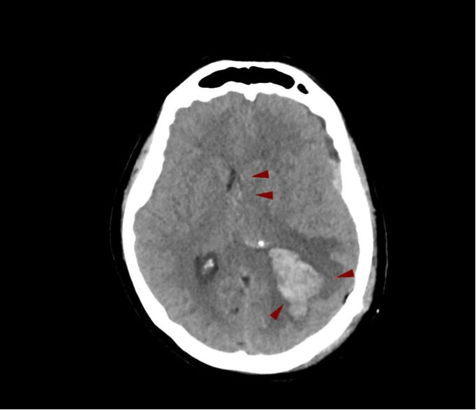
Η διάγνωση του εγκεφαλικού αιματώματος γίνεται μέσω κλινικής εκτίμησης και απεικονιστικών εξετάσεων. Η αξονική τομογραφία εγκεφάλου αποτελεί την εξέταση πρώτης γραμμής, καθώς επιτρέπει την άμεση απεικόνιση του αιματώματος στον εγκέφαλο, τον καθορισμό του μεγέθους του και την εκτίμηση της επίδρασής του στις γύρω δομές. Σε ορισμένες περιπτώσεις, η μαγνητική τομογραφία παρέχει επιπλέον πληροφορίες, ιδιαίτερα για την εγκεφαλική θλάση και τις μικρότερες αιμορραγίες.
Παράλληλα, ο νευροχειρουργός αξιολογεί τη νευρολογική κατάσταση του ασθενή, λαμβάνει λεπτομερές ιστορικό και εκτιμά πιθανούς προδιαθεσικούς παράγοντες. Η έγκαιρη και ακριβής διάγνωση είναι καθοριστική για τη λήψη της σωστής θεραπευτικής απόφασης και τη μείωση των επιπτώσεων της βλάβης
Αιμάτωμα Στον Εγκέφαλο – Θεραπεία & Αντιμετώπιση
Η αντιμετώπιση του αιματώματος στον εγκέφαλο εξαρτάται από το μέγεθος, τη θέση, τα συμπτώματα και τη γενική κατάσταση του ασθενή. Σε μικρά και σταθερά αιματώματα, χωρίς σοβαρά νευρολογικά ελλείμματα, μπορεί να επιλεγεί συντηρητική θεραπεία με στενή παρακολούθηση, φαρμακευτική αγωγή και επαναληπτικές απεικονιστικές εξετάσεις.
Σε μεγαλύτερα αιματώματα ή όταν παρατηρείται επιδείνωση της νευρολογικής εικόνας, απαιτείται χειρουργική παρέμβαση για την αποσυμπίεση του εγκεφάλου και την αφαίρεση του αιματώματος. Η έγκαιρη χειρουργική αντιμετώπιση μπορεί να αποτρέψει σοβαρές επιπτώσεις και μόνιμες συνέπειες, όπως η νευρολογική αναπηρία.
Η αποκατάσταση μετά από εγκεφαλικό αιμάτωμα συχνά περιλαμβάνει φυσικοθεραπεία, λογοθεραπεία και νευρολογική παρακολούθηση. Ο σωστός σχεδιασμός της θεραπείας, εξατομικευμένος για κάθε ασθενή, παίζει καθοριστικό ρόλο στη λειτουργική αποκατάσταση και τη βελτίωση της ποιότητας ζωής.
Ο Νευροχειρουργός Ευστάθιος Σαμαράς είναι Διευθυντής Νευροχειρουργός στην Κλινική Σπονδυλικής Στήλης και Μεγάλων Αρθρώσεων του Metropolitan General Αθηνών με χειρουργική παρουσία για περισσότερα από 15 έτη. Επικοινωνήστε μαζί του τηλεφωνικά ή συμπληρώνοντας τη φόρμα επικοινωνίας και κλείστε ραντεβού στο Metropolitan General στην Αθήνα (Χολαργό), στο ιδιωτικό του ιατρείο στη Χαλκίδα ή την Ιστιαία για την απαραίτητη διάγνωση και τον σχεδιασμό της κατάλληλης θεραπείας για εσάς!
Συχνές Ερωτήσεις
Μπορεί να προκληθεί αιμάτωμα στο κεφάλι από εγκεφαλικό;
Σε ορισμένες περιπτώσεις αιμορραγικού εγκεφαλικού επεισοδίου μπορεί να δημιουργηθεί αιμάτωμα στο κεφάλι, καθώς η ρήξη αγγείων οδηγεί σε συγκέντρωση αίματος στον εγκέφαλο. Η κατάσταση αυτή απαιτεί άμεση ιατρική αξιολόγηση και εξειδικευμένη αντιμετώπιση.
Ποιες είναι οι επιπτώσεις/συνέπειες από αιμάτωμα στον εγκέφαλο;
Οι επιπτώσεις από αιμάτωμα στον εγκέφαλο μπορεί να περιλαμβάνουν νευρολογικά ελλείμματα, διαταραχές μνήμης, κινητικά προβλήματα ή και μόνιμη αναπηρία. Η σοβαρότητα των συνεπειών εξαρτάται από την έκταση της βλάβης και την έγκαιρη θεραπεία.
Εγκεφαλικό αιμάτωμα & απορρόφηση: Πώς πραγματοποιείται;
Η απορρόφηση του εγκεφαλικού αιματώματος γίνεται σταδιακά από τον οργανισμό, μέσω φυσικών μηχανισμών διάσπασης του αίματος. Η διαδικασία αυτή μπορεί να διαρκέσει εβδομάδες ή μήνες και απαιτεί ιατρική παρακολούθηση για την αποφυγή επιπλοκών.
Εγκεφαλική θλάση & εγκεφαλικό αιμάτωμα: Είναι ακριβώς το ίδιο;
Η εγκεφαλική θλάση αφορά τη βλάβη του εγκεφαλικού ιστού, ενώ το εγκεφαλικό αιμάτωμα είναι η συγκέντρωση αίματος στον εγκέφαλο. Συχνά συνυπάρχουν, αλλά αποτελούν διαφορετικές παθολογικές οντότητες.
Πιστεύω ότι ο κάθε άνθρωπος είναι ξεχωριστός, μοναδικός και ότι για κάθε ασθενή η ιδανική θεραπεία είναι απόλυτα εξατομικευμένη. Είμαι στη διάθεσή σας.

