Τι είναι το αιμορραγικό εγκεφαλικό επεισόδιο;
Τα αιμορραγικά εγκεφαλικά επεισόδια είναι λιγότερο συχνά αλλά πιο θανατηφόρα σε σχέση με τα ισχαιμικά εγκεφαλικά επεισόδια και απαιτείται πολλές φορές χειρουργική επέμβαση για την αφαίρεση του αιματώματος και τη μείωση με αυτόν τον τρόπο της ενδοκράνιας πίεσης που προκαλείται από αυτό.
- Ενδοεγκεφαλική αιμορραγία
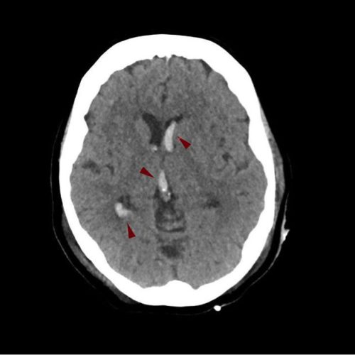
Εμφάνιση αιματώματος μέσα στο εγκεφαλικό παρέγχυμα - Ενδοκοιλιακή αιμορραγία
Εμφάνιση αιματώματος μέσα στις κοιλίες του εγκεφάλου. Εξαιτίας της ενδοκοιλιακής αιμορραγίας μπορεί να αναπτυχθεί αποφρακτική υδροκεφαλία, η οποία πολλές φορές είναι απειλητική για τη ζωή των ασθενών.
- Υπαραχνοειδής αιμορραγία
Η αυτόματη υπαραχνοειδής αιμορραγία εμφανίζεται στο διάστημα μεταξύ του εγκεφάλου και των μεμβρανών, που καλύπτουν τον εγκέφαλο. Συχνά αιτία είναι η ρήξη του εγκεφαλικού ανευρύσματος ή η ρήξη μίας αρτηριοφλεβικής δυσπλασίας. Η αυτόματηυπαραχνοειδής αιμορραγία αποτελεί το 3% των εγκεφαλικών επεισοδίων. - Αυτόματο υπο-επισκληρίδιο αιμάτωμα
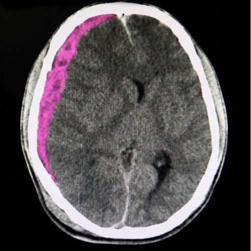
Αποτελεί σπάνια εκδήλωση αυτόματης αιμορραγίας. Συνήθως είναι αποτέλεσμα τραυματισμού του εγκεφάλου
Θεραπείες αιμορραγικού εγκεφαλικού επεισοδίου
Η αντιμετώπιση του αιμορραγικού εγκεφαλικού επεισοδίου εξαρτάται από την αιτία, την έκταση και τη θέση της αιμορραγίας, αλλά και τη γενικότερη κλινική και νευρολογική κατάσταση του ασθενούς. Υψίστης σημασίας είναι η έγκαιρη γνώση του προβλήματος και παρακολούθησή του από εξειδικευμένη ιατρική ομάδα.
Η αιτία της αυτόματης εγκεφαλικής αιμορραγίας μπορεί να είναι πολυπαραγωγική.
Τρεις είναι οι βασικές αιτίες της ενδοεγκεφαλικής αιμορραγίας:
- Η υπερτασική αγγειοπάθεια (υπέρταση)
- Αγγειακή δυσπλασία και ανεύρυσμα εγκεφάλου
- Εξασθένιση των αγγείων λόγω ηλικίας και άλλων συνοδών νοσημάτων (αμυλοειδική αγγειοπάθεια, σακχαρώδης διαβήτης)
Θεραπείες αυτόματης εγκεφαλικής αιμορραγίας
- Χειρουργική αφαίρεση του ενδοεγκεφαλικού αιματώματος
- Χειρουργική απολίνωση: Τοποθετείται ένα μικροσκοπικό clip (μανταλάκι) γύρω από το ανεύρισμα με κρανιοτομία, ώστε να απομονωθεί το ανεύρυσμα, που προκάλεσε την αιμορραγία, από την κανονική κυκλοφορία του αίματος. Υπάρχει πιθανότητα επείγουσας κρανιεκτομής για να μειωθεί η ενδοκρανιακή πίεση.
- Εμβολισμός-ενδαγγειακή αντιμετώπιση ραγέντων ανευρυσμάτων ή αγγειακών δυσπλασιών εγκεφάλου.
Θεραπεία για την υπαραχνοειδή αιμορραγία
- Θεραπεία υποκείμενης αιτίας της υπαραχνοειδούς αιμορραγίας (ρήξη ανευρύσματος, αρτηριοφλεβώδους δυσπλασίας) και απομόνωσή της κυκλοφορίας του αίματος
- Θεραπεία αποφρακτικής υδροκεφαλίας
- Μείωση της ενδοκράνιας πίεσης
Πιστεύω ότι ο κάθε άνθρωπος είναι ξεχωριστός, μοναδικός και ότι για κάθε ασθενή η ιδανική θεραπεία είναι απόλυτα εξατομικευμένη. Είμαι στη διάθεσή σας.




